This site uses tracking information. Visit our privacy policy. Click to agree to this policy and not see this again.

Ophthalmology and Visual Sciences

FILTER BY TOPIC


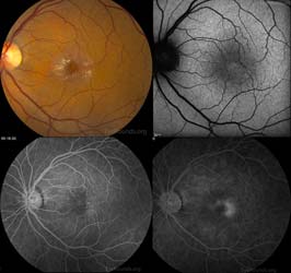
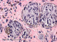
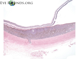
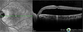
EyeRounds Atlas | New Entries

A collection of images and very brief reports

Keyword search: No "quotes", will return matches to any word
Phrase search: "Exact phrase to be searched"