This site uses tracking information. Visit our privacy policy. Click to agree to this policy and not see this again.

Ophthalmology and Visual Sciences

Pentosan Polysulfate Maculopathy

Pentosan Polysulfate Maculopathy

Karam Alawa, MD; Alexis Warren, MD; Timothy Boyce, MD; and Elliott Sohn, MD, FASRS, FARVO
August 2, 2022

INITIAL PRESENTATION

Chief Complaint: Decreased vision and new floaters in both eyes

History of Present Illness:

A 76-year-old female with a history of chronic interstitial cystitis presents with decreased vision and new visual disturbances in both eyes. She has been on Pentosan for 10 years prior to this visit.

She states that over the last year her vision has been blurry at distance and near in both eyes. She has also noticed “blue floaters” intermittently associated with walking into the sunlight that last for a few seconds at a time. She denied flashes of light or light sensitivity.

Past Ocular History:

  • Age related macular degeneration, both eyes (OU)
  • Pseudophakic, OU (2007 right eye (OD); 2010 left eye (OS))

Past Medical History:

  • Interstitial cystitis diagnosed in 2003
  • Breast cancer s/p bilateral mastectomy (right in 1989, left in 2001)

Medications:

  • Pentosan 200 mg twice daily (started 10 years ago)
  • Amitriptyline 75 mg daily
  • Hydroxyzine 25 mg daily

Allergies:

  • Sulfadoxine
  • Lisinopril

Family History:

  • Non-contributory

Social History:

  • Non-smoker

Review of Systems:

  • Negative except for what is detailed in the history of present illness

OCULAR EXAMINATION

  • Visual Acuity with correction:
    • OD: 20/20
    • OS: 20/30
  • Ocular Motility:
    • Full motility OU
  • Intraocular Pressure (IOP):
    • OD: 14 mmHg
    • OS: 13 mmHg
  • Pupils:
    • 3 → 2 mm OU, no relative afferent pupillary defect (RAPD)
  • Confrontation visual fields:
    • Full OU
  • Slit Lamp Exam:
    • Lids/lashes: Normal OU
    • Conjunctiva/sclera: Clear and quiet OU
    • Cornea: Clear OU
    • Anterior chamber: Deep and quiet OU
    • Iris: Dilated OU
    • Lens: Posterior chamber intraocular lens (PCIOL) OU
  • Dilated fundus examination (DFE):
    • Vitreous: Normal OU
    • Disc: Peripapillary atrophy OU
    • Cup-to-disc ratio: 0.4 OU
    • Macula: Foveal and perifoveal RPE nummular changes OU. Prominent hyper-reflective deposits temporal to the fovea and flame hemorrhage along the superior arcade OS
    • Vessels: Normal OU
    • Periphery: Normal OU
  • Additional Testing:
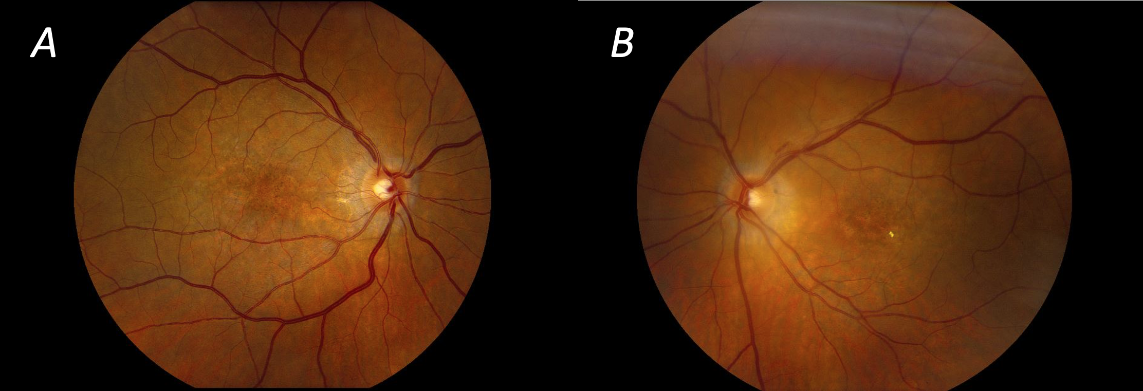
Figure 1. Fundus photography of the right (A) and left (B) eyes. The right eye showed foveal and perifoveal nummular RPE changes. The left eye showed similar changes with a prominent hyper-reflective deposit inferotemporal to the fovea and a small flame hemorrhage along the superotemporal arcade OS.
Figure 2. Baseline optical coherence tomography (OCT) of the right (A) and left (B) eyes during initial presentation. The right eye shows marked ellipsoid zone (EZ) stippling, small drusen-like changes, and an area of outer retinal loss inferior to fovea. The left eye shows similar EZ stippling with faint cavitation overlying the EZ loss along with small drusen-like changes. Follow-up at 7 months (C, D) and 15 months (E, F) shows interval worsening of these changes.
Figure 3. Fundus autofluorescence of both eyes at initial presentation showing symmetric mottled hyper- and hypoautofluorescence around the fovea and optic nerve. Follow-up at 7 months shows mild progression.
Figure 4. OCT angiography of both eyes at baseline, 7 months, and 15 months. Progressive choriocapillaris dropout was noted, more prominent in the left eye. No evidence of neovascularization.

DIFFERENTIAL DIAGNOSIS:

  • Age-related macular degeneration (ARMD) [1]
  • Pentosan polysulfate maculopathy
  • Inherited retinal diseases (macular dystrophy such as pattern dystrophy or maternally inherited diabetes and deafness [MIDD], rod-cone dystrophy)
  • Central serous retinopathy

CLINICAL COURSE

Based on the gradual visual decline and symmetric macular changes with characteristic fundus autofluorescence, the patient was diagnosed with presumed pentosan polysulfate maculopathy and asked to discontinue the medication. She stopped the medication and returned 6 months later with relatively stable visual acuity in both eyes. There was mild progression of the atrophic areas which appeared more rapidly than what is expected with typical ARMD, further supporting a diagnosis of Pentosan-associated maculopathy. Her cumulative dose of pentosan polysulfate sodium at the time of presentation was approximately 1,460 g.


DIAGNOSIS: Pentosan polysulfate maculopathy


DISCUSSION

Etiology/Epidemiology

Pentosan polysulfate sodium (PPS) is a medication approved by the FDA in 1996 to treat bladder pain and discomfort associated with interstitial cystitis. Pharmacologically, Pentosan works as a heparin-analogue that is thought to adhere to bladder mucosal cells and act as a protective-barrier to urinary irritants [2] . Interstitial cystitis has been estimated to affect between 2.7%–6.5% of women aged ≥18 years and 1.9%–4.2% of men with a strong female predominance [3, 4].

Emerging studies have shown that the use of PPS can be associated with a pigmentary maculopathy in a dose-dependent manner, the first of which was a case-series published by Pearce et al in 2018 identifying 6 patients whose clinical presentations were unified by the long-term use of PPS [2]. Since then, a few other studies have identified patients with similar presentations who had taken or were currently taking PPS.

Given this is a newly discovered association, no current prevalence is well documented. However, there is a large study from Kaiser Permanente Medical Center which attempted to quantify prevalence via identification in the electronic medical record. Of 1,120 patients with a diagnosis of IC, 475 (42%) were currently taking PPS. They identified 138 patients who had been dispensed at least 500g of PPS in the prior 20 years and successfully examined 117 patients with a complete ophthalmic examination as well as multimodal imaging. They found that approximately 1/4th of patients who had taken at least 500g of PPS developed clinical characteristics similar to those reported by Pearce et al and this rate increased with increasing cumulative dose [5]. The average age of these patients was approximately 60 and most patients were female. Another study examined a group of 50 patients who were prescribed PPS in a 6 year period and found that roughly 20% exhibited clinical findings consistent with pentosan polysulfate maculopathy [6]. Other risk factors such as body weight, renal or liver disease (pertinent in Plaquenil toxicity) have yet to be identified.

Pathophysiology

The exact mechanism by which PPS causes retinal toxicity is currently unknown. Current theories suggest that blockage of fibroblast growth factor ei¬ther causes direct RPE damage or interferes with repair and maintenance of the RPE [6, 7]. Additional studies are needed to investigate this further.

Signs/Symptoms

Although some patients are asymptomatic, the most commonly reported symptoms include prolonged dark adaptation, metamorphopsia, and blurred vision [2, 8]. Best-corrected visual acuity is often preserved with 20/40 or better vision, although there were a few patients reported with significantly poorer visual acuity who had more pronounced foveal involvement. Fundus examination often revealed paracentral hyperpigmentation and pale-yellow or orange vitelliform-like deposits. More severe presentations included areas of geographic atrophy [2, 6, 8]. Pentosan associated maculopathy can share features of inherited retinal diseases and age-related macular degeneration which can lead to misdiagnosis and a potentially worse outcome if a patient remains on pentosan until the correct diagnosis is made [1].

Imaging

Optical coherence tomography (OCT) of the macula shows excrescences at the level of the RPE early in the disease. Later in the disease, excrescences in the RPE may collapse and RPE atrophy and outer retinal tubulations can be seen [2, 6]. OCT-A shows abnormalities in the foveal avascular zone and areas of choriocapillaris dropout [6, 9].

The most striking feature of this disease is seen on fundus autofluorescence (FAF) which shows a highly irregular, speckled autofluorescence pattern in the posterior pole (including around the optic disc) surrounded by normal autofluorescence elsewhere. Hyperautofluorescent dots correspond to the pale-yellow and orange vitelliform-like deposits and hypoautofluorescence corresponds to areas of RPE atrophy [2, 5, 6, 8]. One study that followed a patient with a cumulative dose of 1,300-2,000g over 18 years with clinical features of pentosan polysulfate maculopathy found progression of changes on FAF up to 6 years even after cessation of PPS [10].

Standard automated perimetry with a Humphrey Field Analyzer can show central or cecocentral scotomas but is otherwise mostly full [2, 8].

Multiple studies have shown full-field electroretinogram (ERG) is mostly normal. Only a few patients, typically those with more severe disease, showed mild attenuation and delay in code and rod responses. Some studies have shown prolonged dark adaptation in affected patients, consistent with reported symptoms [2, 6, 8].

Treatment/Management/Guidelines

Patients with presumed PPS maculopathy need to have this diagnosis discussed with the physician prescribing the medication. Cessation of the medication is strongly recommended to reduce further retinal damage and vision loss, and it is important to discuss that progression may be seen even after cessation of medication. However, some patients may prefer to stay on the medication even with risk of vision loss due to the severity of interstitial cystitis. Thus, it is imperative to discuss the risks and benefits, as well as current knowledge regarding the association of the drug and the maculopathy, with the patient. Some patients can develop secondary complications such as cystoid macular edema which may be treated with carbonic anhydrase inhibitors [9, 11]. If there is suspicion for inherited retinal disease, genetic testing may help clarify the diagnosis. There are no formal screening guidelines currently in place, but with further study these may be implemented. Until these guidelines are developed, patients should undergo a dilated eye examination with OCT and fundus autofluorescence within 6 months of initiating PPS therapy and then at least yearly thereafter. Patients already taking PPS who have not had a dilated eye examination with OCT and fundus autofluorescence within the last year should arrange to be seen.


EPIDEMIOLOGY OR ETIOLOGY

  • Maculopathy secondary to use of pentosan polysulfate sodium which is commonly used to treat interstitial cystitis
  • Currently theorized to cause macular toxicity in a dose-dependent manner

SIGNS

  • Paracentral hyperpigmentation and pale-yellow or orange vitelliform-like deposits in the macula
  • Fundus autofluorescence that shows highly irregular, speckled autofluorescence pattern in the posterior pole surrounded by normal autofluorescence elsewhere
  • OCT showing excrescences at the level of the RPE ± surrounding RPE atrophy

SYMPTOMS

  • Nyctalopia and prolonged dark adaptation
  • Metamorphopsia
  • Blurred vision

TREATMENT/MANAGEMENT

  • Discontinue pentosan polysulfate (if possible) and communicate findings with prescribing provider
  • Genetic testing for inherited retinal disease when indicated
  • Treatment of secondary complications such as cystoid macular edema

References
  1. Chirantan M, et al, AMD Masquerade: A Review of Pentosan Polysulfate Maculopathy and Implications for Clinical Practice. Asia-Pacific Journal of Ophthalmology, 2022.
  2. Pearce WA, Chen R, Jain N, Pigmentary Maculopathy Associated with Chronic Exposure to Pentosan Polysulfate Sodium. Ophthalmology, 2018. 125(11): 1793-1802.
  3. McLennan MT, Interstitial cystitis: epidemiology, pathophysiology, and clinical presentation. Obstet Gynecol Clin North Am, 2014. 41(3): 385-95.
  4. Suskind AM, et al, The prevalence and overlap of interstitial cystitis/bladder pain syndrome and chronic prostatitis/chronic pelvic pain syndrome in men: results of the RAND Interstitial Cystitis Epidemiology male study. J Urol, 2013. 189(1): 141-5.
  5. Vora RA, Patel AP, Melles R, Prevalence of Maculopathy Associated with Long-Term Pentosan Polysulfate Therapy. Ophthalmology, 2020. 127(6): 835-836.
  6. Wang D, et al, Pentosan-associated maculopathy: prevalence, screening guidelines, and spectrum of findings based on prospective multimodal analysis. Can J Ophthalmol, 2020. 55(2): 116-125.
  7. Greenlee T, et al, Re: Pearce et al: Pigmentary maculopathy associated with chronic exposure to pentosan polysulfate sodium (Ophthalmology. 2018;125:1793-1802). Ophthalmology, 2019. 126(7): e51.
  8. Hanif AM, et al, Phenotypic Spectrum of Pentosan Polysulfate Sodium-Associated Maculopathy: A Multicenter Study. JAMA Ophthalmol, 2019. 137(11): 1275-82.
  9. Abou-Jaoude MM, et al, New Insights Into Pentosan Polysulfate Maculopathy. Ophthalmic Surg Lasers Imaging Retina, 2021. 52(1): 13-22.
  10. Huckfeldt RM, Vavvas DG, Progressive Maculopathy After Discontinuation of Pentosan Polysulfate Sodium. Ophthalmic Surg Lasers Imaging Retina, 2019. 50(10): 656-659.
  11. Chen JJ, et al, Decreased macular thickness in nonproliferative macular telangiectasia type 2 with oral carbonic anhydrase inhibitors. Retina, 2014. 34(7): 1400-6.

Suggested citation format

Karam Alawa MD, Alexis Warren MD, Timothy Boyce MD, Elliott Sohn MD. Pentosan Polysulfate Maculopathy. EyeRounds.org. August 2, 2022. Available from https://EyeRounds.org/cases/373-pentosan-polysulfate-maculopathy.htm


Image Permissions:
Creative Commons

Ophthalmic Atlas Images by EyeRounds.org, The University of Iowa are licensed under a Creative Commons Attribution-NonCommercial-NoDerivs 3.0 Unported License.